So if the
obvious don’t cause most Knee Osteoarthritis (OA).. what does?
What are the 'not-so-obvious' causes of MOST Knee OA?
Back in med school most cases of Knee OA were labelled as ‘primary’..
Now, for me, med school was a little while ago.. last century indeed! 😬
Digging deeper, back then, was met with a shrug.. ‘it’s primary, it just happens’. And most of us are still stuck with that messaging..
Worse than that, looking back, I just accepted it.
Didn’t question it. Didn’t think much more about it.
Our (and my!) understanding has got much better over the last 30 years.
Or rather, our imaging and measurement has dramatically improved.
That's given us a better grasp of the..
..that is, the main factors that lead to..
Inflammation, and
Cartilage damage.
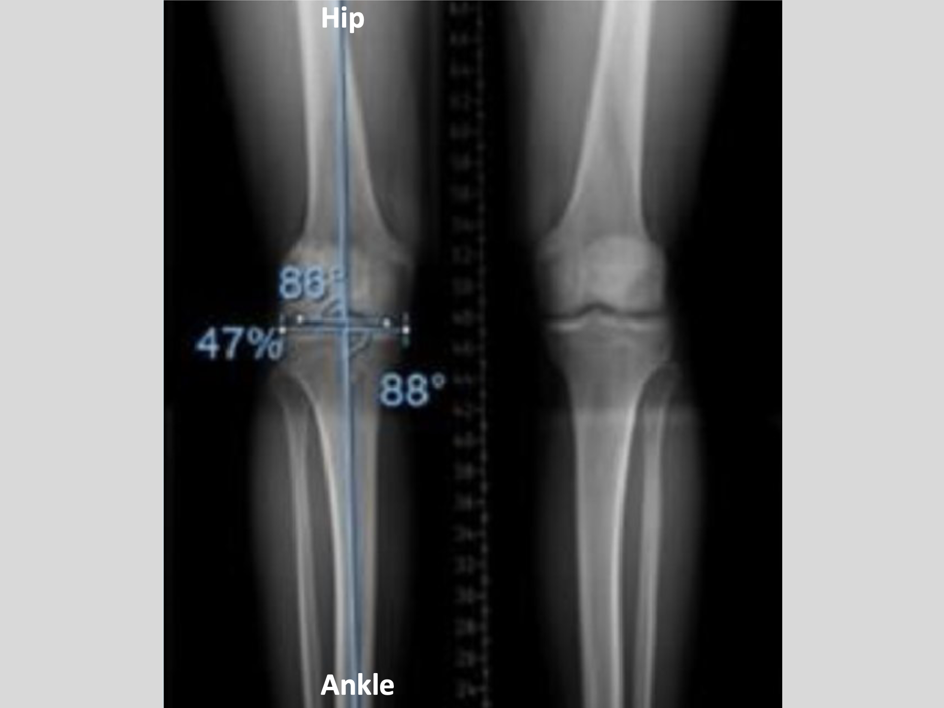
John's LEFT Knee
Let's take a look at John's x-ray film..