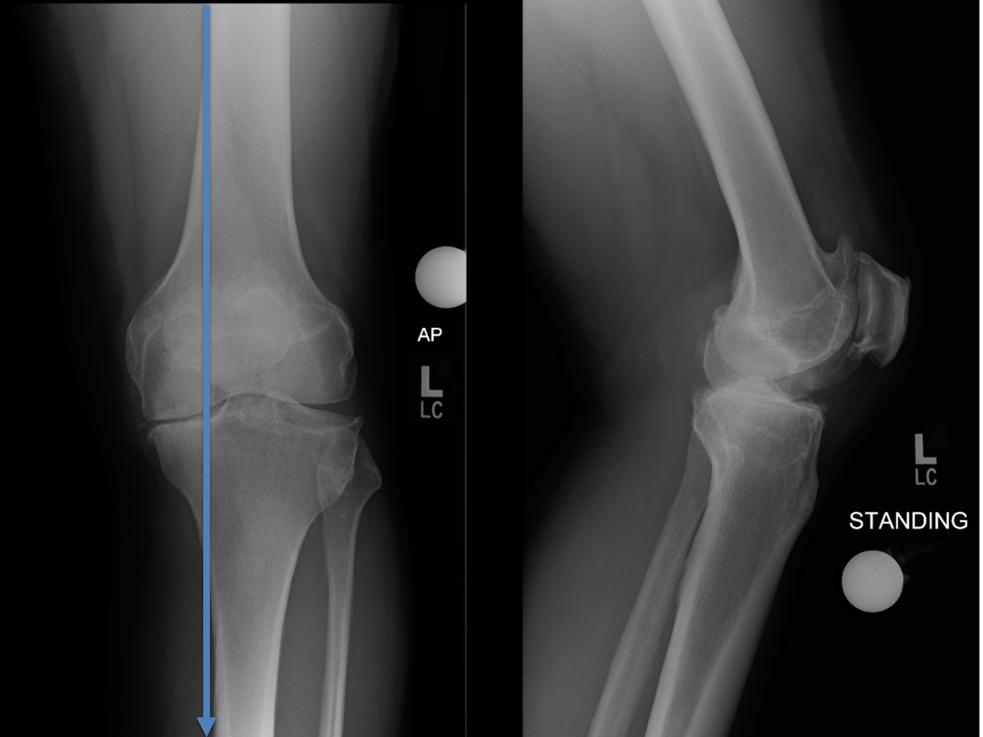
The subtle deformity here is on inside of the tibia..
(or shin bone / the bottom half of the knee joint)
People often say 'I've always been bow-legged'..
A Cornish patient once told me ‘I couldn’t stop a pig in a passage’...
That made me chuckle.
Higher peak force..
Through the inside of the knee
3 Million steps / year
Over a lifetime..
Inevitably leads to..
Intact ligaments restrict cartilage loss to a characteristic pattern that guides treatment.
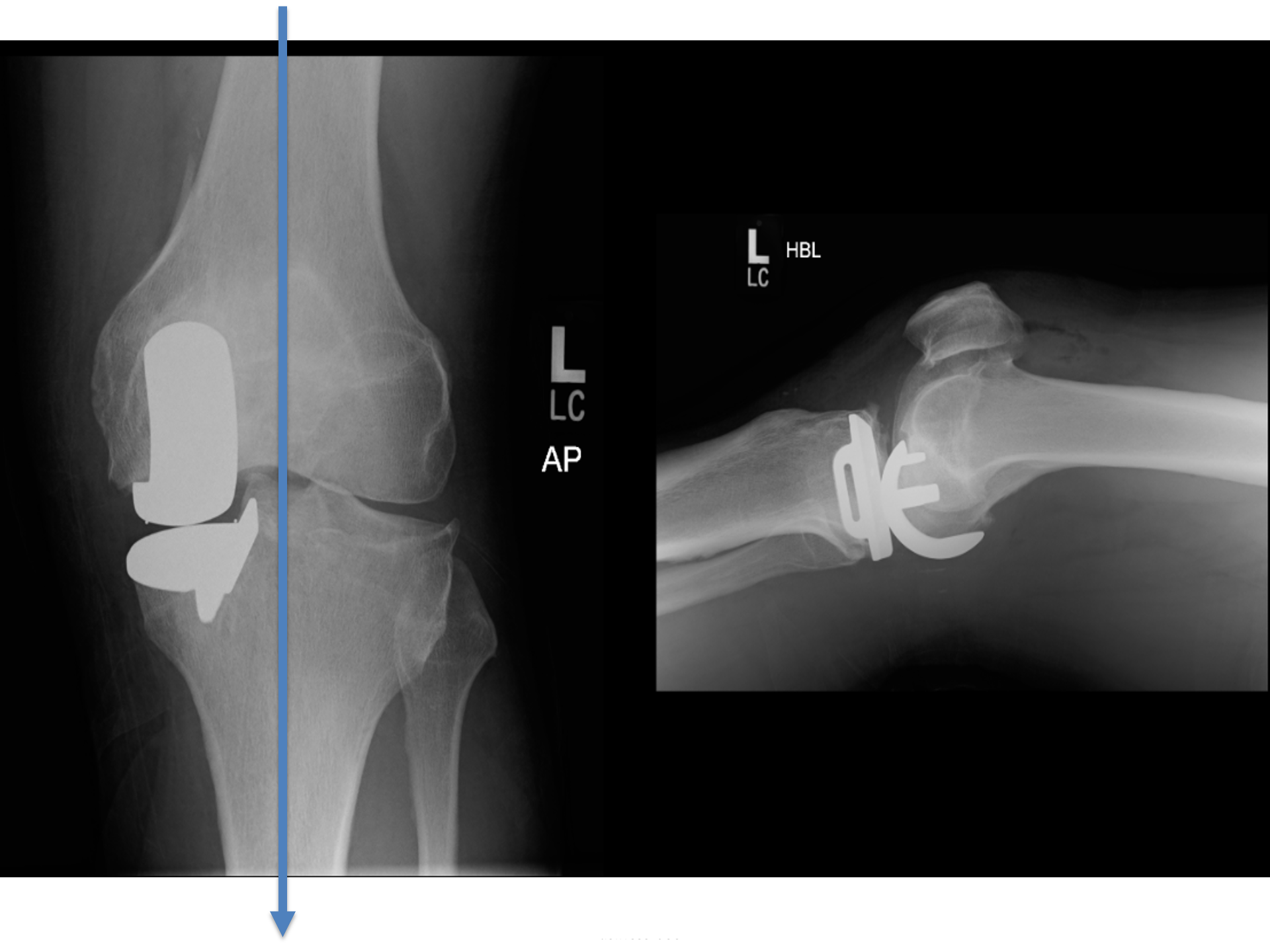
Dai wanted did NOT want to risk progression (like
Marie's knee last week). So, here's his
partial knee replacement..